Bonding

Cosmetic Dentistry

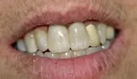
Bonding Bonding

Bonding involves adhering composite resin material that is matched to the color of the tooth, to the front of the tooth. This is done to repair damage done to the tooth by decay, to alter the alignment of the tooth, close gaps between the teeth, or for cosmetic purposes.

First the surface of the tooth is roughened in order to accept the bonding and hold it. A special glue is used to hold the resin material to the tooth. It is activated by using a blue light. Then the material itself is placed on the tooth and hardened with the intense light. The composite resin material is shaped and polished to get a lustrous finish as a last step.

Our Location

Find us on the map

Hours of Operation

Our Regular Schedule

Monday:

8:00 am-4:00 pm

Tuesday:

8:00 am-4:00 pm

Wednesday:

8:00 am-4:00 pm

Thursday:

8:00 am-4:00 pm

Friday:

Closed

Saturday:

Closed

Sunday:

Closed

Testimonials

What Our Clients Say About Us

  • "Dr. Wiggins did a thorough checkup. I feel confident that any issues will be identified & resolved. I have been going to Alpha Omega for many years"
    N. S.
  • "Dr. Wiggins knows what she is doing. She is completely professional, and does an excellent job."
    JEBUSFREEK666
  • "I and my family have been patients of Doc Wiggins for years and trust her implicitly."
    DEE L.
  • "All the staff are very friendly and helpful. Dr. Wiggins has done great work, and she has also been very helpful with warranties and things like that"
    RYAN S.
  • "Dr. Wiggins and her staff have asked me questions about my mouth and body that no other dentist has done for me."
    ABAYSORE
  • "Dr. Wiggins & her staff were friendly, kind & punctual. I thoroughly enjoyed my visit & their professional care."
    KIM S.
  • "Everyone here is nice, friendly and to the point. I’ve even gotten my husband to switch over. He also enjoys getting his teeth worked on here"
    ANGELICA