Crowns

Cosmetic Dentistry

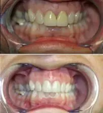
crowns

Crowns are full coverage restorations that are used to cover a tooth that is likely to break, or is too broken down to be restored with a filling. They are most commonly done after root canal treatment, or when a large filling wears out. The larger the hole made by a cavity that has to be treated, the more likely a crown will be needed. Even after a filling is put in a large cavity, a tooth is more likely to break. Keep in mind that the jaw muscles are the strongest in the human body. Teeth are subjected to tremendous pressures. Crowns ride over the weakened tooth, providing strength and protecting the tooth against breakage. A broken or cracked tooth is a far more serious matter and much more difficult to treat. Crowns prevent this, as well as making for a nice smile.

It takes two appointments to restore a tooth with a crown. In the first any decay is removed from the tooth and it is shaped to accept the crown. Then an impression is made of the tooth for use in fabricating a crown. Between the two visits the crown is made, usually of high-strength porcelain over gold alloy, all ceramic material, or gold. During this time a temporary crown is worn. In the second visit this temporary is removed. Then the permanent crown is adjusted as needed and then cemented in place.

Our Location

Find us on the map

Hours of Operation

Our Regular Schedule

Monday:

8:00 am-4:00 pm

Tuesday:

8:00 am-4:00 pm

Wednesday:

8:00 am-4:00 pm

Thursday:

8:00 am-4:00 pm

Friday:

Closed

Saturday:

Closed

Sunday:

Closed

Testimonials

What Our Clients Say About Us

  • "Dr. Wiggins did a thorough checkup. I feel confident that any issues will be identified & resolved. I have been going to Alpha Omega for many years"
    N. S.
  • "Dr. Wiggins knows what she is doing. She is completely professional, and does an excellent job."
    JEBUSFREEK666
  • "I and my family have been patients of Doc Wiggins for years and trust her implicitly."
    DEE L.
  • "All the staff are very friendly and helpful. Dr. Wiggins has done great work, and she has also been very helpful with warranties and things like that"
    RYAN S.
  • "Dr. Wiggins and her staff have asked me questions about my mouth and body that no other dentist has done for me."
    ABAYSORE
  • "Dr. Wiggins & her staff were friendly, kind & punctual. I thoroughly enjoyed my visit & their professional care."
    KIM S.
  • "Everyone here is nice, friendly and to the point. I’ve even gotten my husband to switch over. He also enjoys getting his teeth worked on here"
    ANGELICA