Implants

Cosmetic Dentistry

implants implants

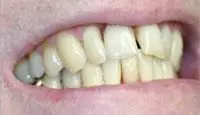
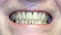
A dental implant is an option to replace a missing tooth as an artificial root. In this procedure, a small titanium shaft is surgically implanted into the bone and allowed to set. The bone grows around it forming a tight connection, which additionally slows or stops the bone loss that occurs when the root of a natural tooth is missing.

Once the implant is firmly set in the mouth, the restoring dentist then works to attach the replacement tooth onto the top of the shaft. This permanent solution has the advantages over bridge work that it does not stress the surrounding teeth for support, can be maintained by simple flossing. You just treat it like a normal tooth.

Implants can also be used as support as part of an implant bridge. This is an alternative to removable partial dentures, and has several advantages. First, there is no adjustment period for the patient who, once the work is done, only feels teeth, not metal supports intruding into the mouth and causing potential complications to the anchoring teeth. Second, this slows the bone loss associated with missing teeth. Third, there is no discomfort or difficulty in eating. And, best of all, of course, they don't have to be taken out all the time, and they do not get cavities!!

Implants can also be used as attachments for additional security on a mouth that does not have a good shape for holding dentures. The bottom denture tends to be the most challenging for patients who have not had teeth for a long period of time, as the bone can shrink when the teeth have been removed. The implants can act as snaps to keep the lower denture form moving while talking or eating. We do not place implants at this time, but provide the information to the specialists that do for the best location for an exceptional result.

A tomogram, similar to a CT scan, is taken of the implant area, allowing the placing surgeon to know exactly how much bone he/she has to work with, as well as the angle that the implant should be placed for the best esthetic and stabile long term result. A surgical guide is often used to ensure this placement position as well.

Our Location

Find us on the map

Hours of Operation

Our Regular Schedule

Monday:

8:00 am-4:00 pm

Tuesday:

8:00 am-4:00 pm

Wednesday:

8:00 am-4:00 pm

Thursday:

8:00 am-4:00 pm

Friday:

Closed

Saturday:

Closed

Sunday:

Closed

Testimonials

What Our Clients Say About Us

  • "Dr. Wiggins did a thorough checkup. I feel confident that any issues will be identified & resolved. I have been going to Alpha Omega for many years"
    N. S.
  • "Dr. Wiggins knows what she is doing. She is completely professional, and does an excellent job."
    JEBUSFREEK666
  • "I and my family have been patients of Doc Wiggins for years and trust her implicitly."
    DEE L.
  • "All the staff are very friendly and helpful. Dr. Wiggins has done great work, and she has also been very helpful with warranties and things like that"
    RYAN S.
  • "Dr. Wiggins and her staff have asked me questions about my mouth and body that no other dentist has done for me."
    ABAYSORE
  • "Dr. Wiggins & her staff were friendly, kind & punctual. I thoroughly enjoyed my visit & their professional care."
    KIM S.
  • "Everyone here is nice, friendly and to the point. I’ve even gotten my husband to switch over. He also enjoys getting his teeth worked on here"
    ANGELICA