Whitening

Cosmetic Dentistry

whitening whitening whitening

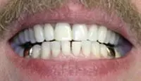
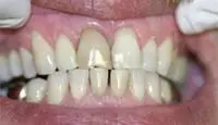
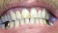
Tooth whitening is a popular procedure to make teeth whiter and brighter, and therefore more attractive. Bleaching can be used to whitening stained and discolored teeth, or simply to enhance a dull smile. Either way, tooth whitening is a safe and relatively painless procedure ideal for most patients.

Our office offers two methods of whitening: walk-out whitening of non-vital teeth, and tray whitening.

Walk-out whitening of non-vital teeth uses a solution to whiten from the inside out. Root canal treated, or “dead” teeth can become darker than their neighbors. This is from the minerals in the blood soaking into the tooth when it dies. This dark material can be removed using a whitening solution on the inside of the tooth, using the hole that the root canal treatment was done through. The whitening solution is placed inside the tooth, a temporary filling put into the hole, and worn home. The patient usually comes back in one week for either a permanent filling into the hole, or additional whitening solution if it appears necessary. The results are dramatic and easy to do for a wonderful smile.

Tray whitening is a whitening treatment you can use while in the comfort of your own home to gradually whiten teeth. We will first take an impression of your teeth to create a customized clear tray that you will wear to do the whitening your teeth. Within a few days your trays will be ready to be picked up and we will show you how to apply the special bleaching material to the trays. The whitening gel trays can either be worn twice a day (if you wear another type of appliance in your mouth at night) or while you are sleeping. Different whitening formulas are used for each type of system. It usually takes about one week for patients to achieve the results that they want.

At the end of this period, you will see maximum whitening results that are nothing short of dazzling. Any extra whitening solution can be kept in your refrigerator to be used at your convenience to maintain your new smile, or an extra tube can be picked up from our office at any time.

Our Location

Find us on the map

Hours of Operation

Our Regular Schedule

Monday:

8:00 am-4:00 pm

Tuesday:

8:00 am-4:00 pm

Wednesday:

8:00 am-4:00 pm

Thursday:

8:00 am-4:00 pm

Friday:

Closed

Saturday:

Closed

Sunday:

Closed

Testimonials

What Our Clients Say About Us

  • "Dr. Wiggins did a thorough checkup. I feel confident that any issues will be identified & resolved. I have been going to Alpha Omega for many years"
    N. S.
  • "Dr. Wiggins knows what she is doing. She is completely professional, and does an excellent job."
    JEBUSFREEK666
  • "I and my family have been patients of Doc Wiggins for years and trust her implicitly."
    DEE L.
  • "All the staff are very friendly and helpful. Dr. Wiggins has done great work, and she has also been very helpful with warranties and things like that"
    RYAN S.
  • "Dr. Wiggins and her staff have asked me questions about my mouth and body that no other dentist has done for me."
    ABAYSORE
  • "Dr. Wiggins & her staff were friendly, kind & punctual. I thoroughly enjoyed my visit & their professional care."
    KIM S.
  • "Everyone here is nice, friendly and to the point. I’ve even gotten my husband to switch over. He also enjoys getting his teeth worked on here"
    ANGELICA